- ABI/PVR
- ABI & PVR Pre & Post Exercise
- Aortic Duplex
- Arterial Duplex
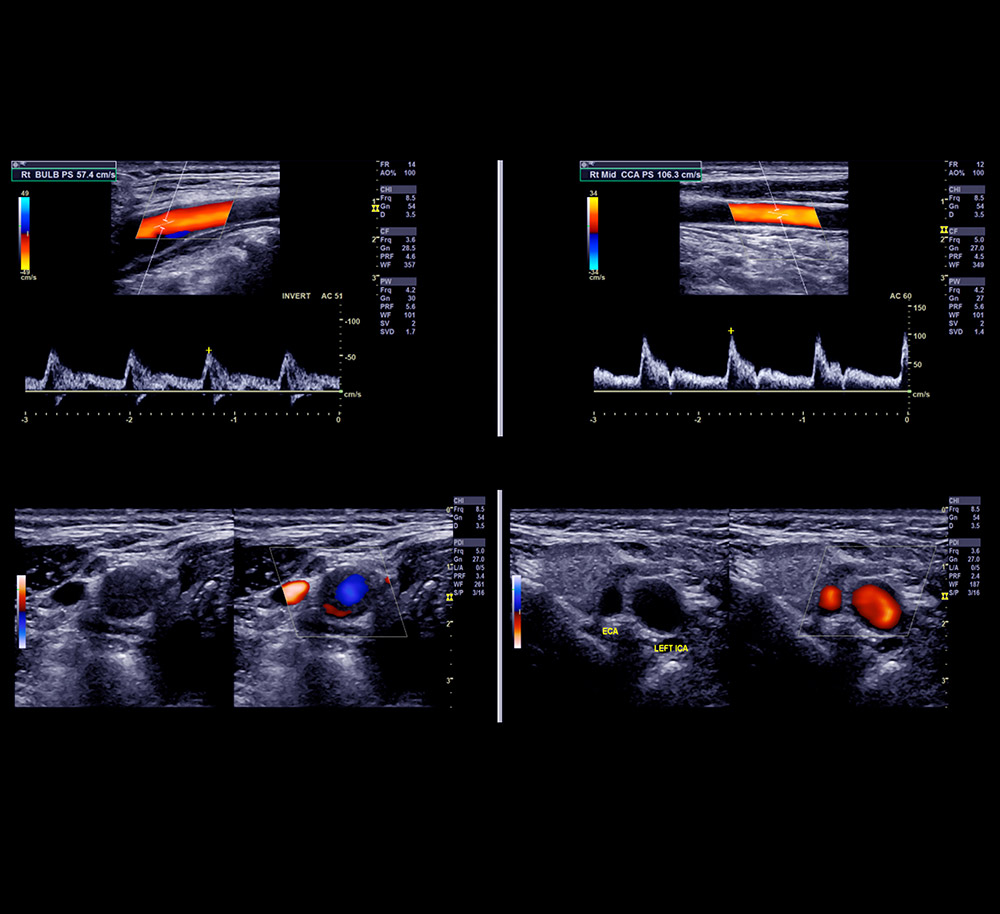
- Carotid Duplex
- Dialysis Access Duplex
- Digital Studies / with Access Open and Closed
- Graft Duplex
- Vein Mapping
- Venous Duplex / R/O DVT / Reflux / Post-EVLT
- Pelvic Venous Imaging
- R/O DVT Reflux Post-EVLT
- Pedal Arterial Duplex

